Böbrek ağrısı şikayetiyle doktora gitti 8 kilo zayıfladı 👨‍⚕️ 'Gebe bir kadın gibiydim' dedi gözlerine inanamadı

Giriş Tarihi:
ahaber.com.tr Haber Merkezi | DHA

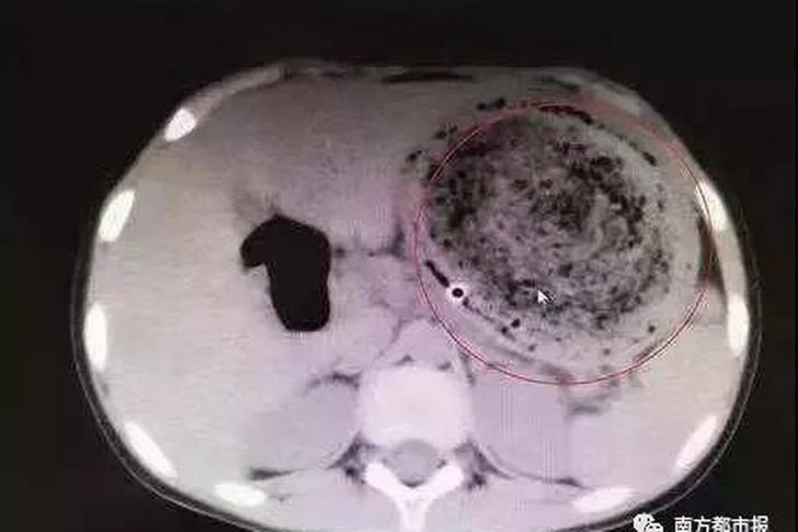
Antalya'nın Alanya ilçesinde böbrek ağrısı şikayetiyle hastaneye başvuran 48 yaşındaki Şükrü Genç, bağ dokusundan kaynaklanan ve nadir görülen bir kanser türü olan sarkom hastalığına yakalandığını öğrendi. Dünyada nadir görülen bir damar bozukluğuna da sahip Genç, karnın sol tarafını dolduran 8 kilogram ağırlığındaki tümörden İzmir'de yapılan operasyonla kurtuldu.

Böbrek ağrısı şikayetiyle doktora gitti 8 kilo zayıfladı 👨‍⚕️ 'Gebe bir kadın gibiydim' dedi gözlerine inanamadı 1

Alanya'da müzisyen olarak çalışıp geçimini sağlayan Şükrü Genç, yaklaşık bir yıl önce başlayan karın ağrısı şikayeti üzerine Alanya Devlet Hastanesi'ne başvurdu. Burada karnında kitle tespit edilen Genç daha sonra Isparta'da özel bir hastaneye gitti. Ameliyata alınması gerektiğinin söylenmesi üzerine Genç, ailesinin yaşadığı İzmir'e gelip, İzmir Şehir Hastanesi'ne başvurdu.

Böbrek ağrısı şikayetiyle doktora gitti 8 kilo zayıfladı 👨‍⚕️ 'Gebe bir kadın gibiydim' dedi gözlerine inanamadı 2

Yapılan tetkikler üzerine kitlenin dalak, pankreas ve kalın bağırsağıyla birlikte böbrek üstü bezlerini de içine aldığı ve boyutlarının eninin 35, boyunun ise 25 santimetre olduğu tespit edilen tümörün ağırlığının ise 8 kilo olduğu anlaşıldı. Genç'e bağ dokusundan kaynaklanan ve nadir görülen bir kanser türü olan sarkom hastalığı teşhisi konuldu. Genç, İzmir Şehir Hastanesi Gastroenteroloji Cerrahi Uzmanı Doç. Dr. Ali Kemal Kayapınar ve Cerrahi Onkoloji Uzmanı Doç. Dr. Murat Güner tarafından 19 Mart'ta yapılan operasyonla sağlığına kavuştu.

Böbrek ağrısı şikayetiyle doktora gitti 8 kilo zayıfladı 👨‍⚕️ 'Gebe bir kadın gibiydim' dedi gözlerine inanamadı 3

'HAYATTA OLMAMIN SEBEBİ DOKTORLARIM'

Karnındaki kitle nedeniyle yavaş yavaş kilo almaya başlayan ancak bu durumu çok umursamadığını dile getiren Genç, "Daha önce böbreğimde taş vardı. Bunu da böbrek ağrısı sandım. Fakat yanılmışız. Kitle böbreğe baskı yaptığı için ağrılarım oluyormuş. Alanya Devlet Hastanesi'nde ultrasonla bakarak emar çekip, kitleyi tespit ettiler. Daha sonra Isparta'da özel bir sağlık kuruluşuna başvurdum. Orada da sonuçlara bakıp, aynı gün ameliyata alabileceklerini söylediler. Korktum. Ailem İzmir'de yaşadığı için buraya geldim. Kan, idrar ve çeşitli tahliller yapıldı. Burada ameliyata girip çıkamama ihtimalim olduğu söylendi. Düşündüm ve risk aldım. Doktorlar da riskin büyüğünü aldı. Başarılı bir operasyon geçirdim. Hayatta olmamın sebebi doktorlarım. Kendilerine teşekkür ederim" dedi.

Böbrek ağrısı şikayetiyle doktora gitti 8 kilo zayıfladı 👨‍⚕️ 'Gebe bir kadın gibiydim' dedi gözlerine inanamadı 4

'GEBE BİR KADIN GİBİYDİM'

Alanya'da bağlama ve gitar çaldığını ancak son dönemde ağrıları nedeniyle çalışamaz hale geldiğini anlatan Şükrü Genç, kendisini ikinci kez dünyaya gelmiş gibi hissettiğini belirtip, "Kocaman bir karnım vardı. Gebe bir kadın gibiydim. Ben ilk başta kilo aldığımı sanıyordum, umursamadım. Ağrılar başlayınca hastaneye gittim. Nefes alışverişim bile iyi değildi. Müzisyen olduğum için çok iyi diyafram kullanırdım. Ama diyaframımı kullanamıyordum. Uyurken bile rahatsız ediyordu. 70 kiloydum ameliyattan sonra 55 kiloya düştüm. Hocalarım kitlenin 8 kilo olduğunu söyledi. Bundan sonra gece çalışamam. Alanya'da dershane işiyle ilgileneceğim. 35 yıl sigara tiryakisiydim. Ameliyattan çıktığımdan beri bıraktım. Artık kokusunun olduğu yerde bile duramıyorum" ifadelerini kullandı.

Böbrek ağrısı şikayetiyle doktora gitti 8 kilo zayıfladı 👨‍⚕️ 'Gebe bir kadın gibiydim' dedi gözlerine inanamadı 5

'HASTANIN TEK ŞANSI CERRAHİ İDİ'

Şükrü Genç'in 29 Mart'ta taburcu olduğunu ve ameliyatın ardından hiçbir komplikasyon yaşamadıklarını ifade eden İzmir Şehir Hastanesi Gastroenteroloji Cerrahi Uzmanı Doç. Dr. Ali Kemal Kayapınar, hastanın dünyada az rastlanan bir damar anomalisine sahip olduğunu söyleyerek, "Her insanda damarların normal bir seyri vardır ancak bazı kişilerde bu seyir değişebiliyor. Sol bacaktaki damarın normalde aşağıda, sağ bacaktaki damarla birleşmesi gerekirdi. Damar tümör içinden gidip sol böbreğin toplardamarına katılıyordu. Tümörün içinde olduğu için cerrahi açıdan büyük bir risk vardı. Hastamızı onkoloji konseyinde değerlendirdik. Biyopsisinin ardından kanser teşhisi konuldu. Konseyde ameliyat öncesi kemoterapi kararı çıktı. Ancak kemoterapiye cevap alamadık. Hastanın tek şansı cerrahi idi. Hasta ile tümörün çok büyük olması ve bunun yanında damar anomalisi nedeniyle ameliyatın riskli olduğunu konuştuk. Kendisi de riskleri kabul etti biz de kabul ettik" diye konuştu.

Böbrek ağrısı şikayetiyle doktora gitti 8 kilo zayıfladı 👨‍⚕️ 'Gebe bir kadın gibiydim' dedi gözlerine inanamadı 6

'8 KİLO AĞIRLIĞINDA OLDUĞUNU GÖRDÜK'

Tümörün dalağı, pankreası, sol böbreği ve sol kolonu tuttuğunu anlatan Doç. Dr. Kayapınar şöyle devam etti:

Böbrek ağrısı şikayetiyle doktora gitti 8 kilo zayıfladı 👨‍⚕️ 'Gebe bir kadın gibiydim' dedi gözlerine inanamadı 7

"Tümör ile bu organları çıkardık. Aynı zamanda tümörün içinden altından giden önemli damarı koruyarak geride hiç tümör dokusu bırakmadık. Tümörü çıkardık ve tartıp 8 kilo ağırlığında olduğunu gördük. Hastamızın bu ameliyatla yaşam süresini uzatma olasılığını sağladığımız için gururluyuz. Bu kitle karnın arka tarafında yer aldığı için büyük boyutlara gelene kadar kendini göstermemiş ve hastada herhangi bir şikayet olmamış. Hastanın genç olması bu şişkinliği önemsememesine neden olmuş. Daha sonra organlarına bası yapması sonucu şikayetlerin başlaması üzerine tetkik için doktora gidip hastalığı tesadüfen ortaya çıkmış."

Böbrek ağrısı şikayetiyle doktora gitti 8 kilo zayıfladı 👨‍⚕️ 'Gebe bir kadın gibiydim' dedi gözlerine inanamadı 8

'AMELİYAT MASASINA YATIP KALKAMAMA İHTİMALİ VARDI'

Cerrahi Onkoloji Uzmanı Doç. Dr. Murat Güner ise "Bu lezyonlar cerrahi için zordur. Çünkü yerleşim yeri itibariyle ulaşması zordur. Damarlara olan komşuluğu, etraf dokuları içine alması, geç dönemde fark edilmesi, hastaların genellikle kilo aldığını düşünerek hastaneye geç başvurması ve başvurduğu zaman da damarları ve etraf dokuları sardığı için eve gönderilmesi riski arttırıyordu. Son çare olarak buraya başvurdu. Hastaya bütün şeffaflığıyla durumu paylaştık. Ameliyat masasına yatıp kalkamama ihtimalinin olduğu belirtildi. Hastanın kendisi de ameliyat olmazsa hastaneden çıkmasının mümkün olmayacağını biliyordu. İyi bir ekiple başarılı bir operasyonla tümörlü alan temizlenmiş oldu. Hastaya sağladığımız katkı bizim için paha biçilemez. Hastayı takiplerde iyi olduğunu görmek bizim için mutluluk verici" diye konuştu.

Böbrek ağrısı şikayetiyle doktora gitti 8 kilo zayıfladı 👨‍⚕️ 'Gebe bir kadın gibiydim' dedi gözlerine inanamadı 9
Böbrek ağrısı şikayetiyle doktora gitti 8 kilo zayıfladı 👨‍⚕️ 'Gebe bir kadın gibiydim' dedi gözlerine inanamadı 10
Böbrek ağrısı şikayetiyle doktora gitti 8 kilo zayıfladı 👨‍⚕️ 'Gebe bir kadın gibiydim' dedi gözlerine inanamadı 11

DAHA ÖNCE DE BENZER OPERASYONLAR GERÇEKLEŞMİŞTİ

Kayseri'de karın şişliği ve kilo şikayetleriyle hastaneye giden Yeter Altıntaş hiç beklemediği bir olayla karşı karşıya kaldı. Tedavi eden doktor bile şaşırırken, ameliyat sonrası Altıntaş, 9 kilo verdi.

Böbrek ağrısı şikayetiyle doktora gitti 8 kilo zayıfladı 👨‍⚕️ 'Gebe bir kadın gibiydim' dedi gözlerine inanamadı 12

İki çocuk annesi Yeter Altıntaş, karın şişliği ve kilo şikayetleriyle Kayseri Şehir Hastanesi'ne başvurdu. Yapılan muayenenin ardından ultrason çekilen Altıntaş'ın yumurtalık bölgesine yakın bir yerde tümör tespit edildi. Hastaneye yatırılan Altıntaş'ın ameliyatına karar verildi. Jinekoloji ve Onkoloji Cerrahisi Uzmanı Op. Dr. Seda Şahin Aker'in yaptığı ameliyatla Altıntaş'ın karnından yumurtalık bölgesine kadar olan alanı tamamen dolduran 9 kilo ağırlığındaki kitle, operasyonla çıkarıldı. Ameliyata 64 kilo giren Altıntaş, 1 gün sonra 55 kilo olarak taburcu edildi.

Böbrek ağrısı şikayetiyle doktora gitti 8 kilo zayıfladı 👨‍⚕️ 'Gebe bir kadın gibiydim' dedi gözlerine inanamadı 13

Ameliyatı gerçekleştiren Op. Dr. Seda Şahin Aker,

"Hastamız bize karın şişliği ve kilo şikayetiyle geldi. Pandemi nedeniyle hastaneye başvurusunu bir süre ertelemiş. Biz de yaptığımız tahlil ve tedavide organlara bası yapan solunum riski oluşturan 30 santim boyutunda 9 kilo ağırlığında bir tümör tespit ettik. Gerekli çalışma ve hazırlıkları tamamladıktan sonra ameliyatı gerçekleştirdik. Son derece başarılı bir ameliyat oldu. Hastamızın soluk almasını dahi güçleştiren tümörü aldık. Tümürün iyi olması bizim için çok önemliydi. Aksi durumda diğer organlara sıçrama olasılığı yüksekti. Yeter Altıntaş ameliyat öncesi 64 kiloydu. Ameliyat sonrası kendisini 55 kilo olarak taburcu ettik" diye konuştu.

Böbrek ağrısı şikayetiyle doktora gitti 8 kilo zayıfladı 👨‍⚕️ 'Gebe bir kadın gibiydim' dedi gözlerine inanamadı 14

Zonguldak'ta ani kilo kaybı ve karında şişkinlik şikayetiyle hastaneye başvuran Mustafa C.'nin (56) karnından çıkarılan hayrete düşürdü. Genel Cerrahi Ana Bilim Dalı Öğretim Üyesi Dr. İlhami Taşdöven, "şişkinlik deyip geçmeyin" uyarısında bulundu. Bakın karnından ne çıktı?

Böbrek ağrısı şikayetiyle doktora gitti 8 kilo zayıfladı 👨‍⚕️ 'Gebe bir kadın gibiydim' dedi gözlerine inanamadı 15

Bülent Ecevit Üniversitesi Sağlık Uygulama ve Araştırma Merkezi'ne ani kilo kaybı ve karında şişkinlik şikayetiyle başvuran Mustafa C.'nin karnında 60 santimetre büyüklüğünde tümör tespit edildi.

Böbrek ağrısı şikayetiyle doktora gitti 8 kilo zayıfladı 👨‍⚕️ 'Gebe bir kadın gibiydim' dedi gözlerine inanamadı 16

Mustafa C., tümörün iç organlarına yaptığı baskı nedeniyle acil ameliyata alındı. 14 kilo ağırlığında olduğu tespit edilen tümör, Genel Cerrahi Ana Bilim Dalı Öğretim Üyesi Dr. İlhami Taşdöven ve ekibinin yaptığı başarılı ameliyatla çıkarıldı.

Böbrek ağrısı şikayetiyle doktora gitti 8 kilo zayıfladı 👨‍⚕️ 'Gebe bir kadın gibiydim' dedi gözlerine inanamadı 17

KARIN BÖLGESİNİ TAMAMEN KAPLAMIŞTI

Mustafa C., 5 günlük tedavi sonrası sağlığına kavuşarak taburcu edildi. Hasta hakkında bilgi veren Dr. Taşdöven, "Hastamıza yaptığımız ameliyatta karın bölgesini tamamen kaplayan büyük bir kitleyle karşılaştık. Bu kitlenin kalın ve ince bağırsağı hastanın sağ tarafına ittiğini gördük. Bu kitleyi dışarı aldık. Dışarı aldıktan sonra iki üç tane daha küçük kitlelerle de karşılaştık. Onları da temizledik. Hastayı daha sonra servisimizde takip ettik. 5 günlük takip sonrasında şifa ile taburcu ettik" dedi.

Böbrek ağrısı şikayetiyle doktora gitti 8 kilo zayıfladı 👨‍⚕️ 'Gebe bir kadın gibiydim' dedi gözlerine inanamadı 18

'ŞİŞKİNLİK DEYİP GEÇMEYİN'
Dr. İlhami Taşdöven, karın şişkinliklerinin sadece 'şişkinlik' olarak görülmemesi gerektiğini ifade ederek, "Bu şişkinlikler karşımıza tümör şeklinde gelebiliyor. Şişkinlik diye geçmeyelim ve bu durumda en yakın doktora başvurmayı öneririm. Anlamsız kilo kayıpları, halsizlik ve şişkinlik şikayetleri bazen tümör belirtisi olabiliyor. Özellikle 40'lı yaşlardan sonra bunların takiplerinin yapılmasını öneririm. Tedavi edilmezse bu büyük kitleler diğer organların dolaşımını bozacağı için ileride daha çok sıkıntı yaşatabilir. Erken teşhis ve tanı önemlidir. Erken tanıyla bu kitle çıkarıldığında hasta normal yaşamına devam edebilir" diye konuştu.

Böbrek ağrısı şikayetiyle doktora gitti 8 kilo zayıfladı 👨‍⚕️ 'Gebe bir kadın gibiydim' dedi gözlerine inanamadı 19

KARIN AĞRISIYLA HASTANEYE GİTTİ MİDESİNDEN ÇIKANLAR ŞOKE ETTİ

Çin'in Guangdong bölgesinde karın ağrısı şikayetiyle hastaneye kaldırılan 8 yaşındaki kızın hastalığının sebebi şoke etti. Küçük kızın midesinden çıkanlar ise ailesi dahil herkesi şoke etti.

Böbrek ağrısı şikayetiyle doktora gitti 8 kilo zayıfladı 👨‍⚕️ 'Gebe bir kadın gibiydim' dedi gözlerine inanamadı 20

Küçük kız şiddetli karın ağrısıyla hastaneye kaldırıdı. Doktorların muayene ve incelemerinin ardından küçük kızın midesinde bir kitle görüldü.

Böbrek ağrısı şikayetiyle doktora gitti 8 kilo zayıfladı 👨‍⚕️ 'Gebe bir kadın gibiydim' dedi gözlerine inanamadı 21

Yapılan operasyon sonunda küçük kızın midesinde yıllardır çiğnediği yaklaşık bir buçuk kilo ağırlığında bir kıl yumağı saptandı. Feifei isimli kız hemen operasyona alınarak midesindeki kıl yumağı çıkarıldı.

Böbrek ağrısı şikayetiyle doktora gitti 8 kilo zayıfladı 👨‍⚕️ 'Gebe bir kadın gibiydim' dedi gözlerine inanamadı 22

Küçük kızın annesi, 2019 yılının başlarında kıl yeme alışkanlığını bıraktığını ancak kılların midede birikmiş olduğuna dikkat çekti. Küçük kızın Şubat ayında kusma ve karın ağrısı semptomları göstermeye başladığını söyledi.

Böbrek ağrısı şikayetiyle doktora gitti 8 kilo zayıfladı 👨‍⚕️ 'Gebe bir kadın gibiydim' dedi gözlerine inanamadı 23

Doktor ise operasyonun ardından şu ifadeleri kullandı; "Bu kıl yumağı yıllardır kızın midesinde olmalı. Kıl yemek ise insanlar arasında hayli yaygın olan psikolojik temelli bir yeme bozukluğudur."

Böbrek ağrısı şikayetiyle doktora gitti 8 kilo zayıfladı 👨‍⚕️ 'Gebe bir kadın gibiydim' dedi gözlerine inanamadı 24

FENOMEN DOKTORDAN İLGİNÇ OPERASYON

Pimple'ın yaptığı bazı operasyonlardan hayrete düşüren kareler sosyal medyada gündeme oturdu.

Böbrek ağrısı şikayetiyle doktora gitti 8 kilo zayıfladı 👨‍⚕️ 'Gebe bir kadın gibiydim' dedi gözlerine inanamadı 25

İşte kalçasındaki şişlik çıkan bir hastasının operasyon görüntüleri...